Cabinet
Member's benefits
Create study meterials
Subscribe for quizzes
Practice in Flashcards mode
Practice in Quiz mode
Track your progress and identify weak spots
Add explanations
Discuss topics with others
Create and join study groups
Have fun and connect with friends!
Sign In
Sign in
Register
Discover
Study materials
Study groups
Announcements
Practice
Please sign in to practice
0%
Score
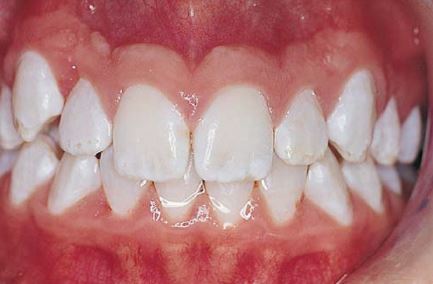
Which image shows staining of the Nasmyth's membrane?
3
1
2
4
0 explanations
Explanations are useful to guide through learning process and confirm that the correct answer is indeed correct.
Only registered users can add explanations
Facebook
Twitter
Similar questions:
Which image depicts the correct usage of a round toothpick wedge during a class II restoration process?
A
Assist 6
0 explanations
Explanations are useful to guide through learning process and confirm that the correct answer is indeed correct.
Only registered users can add explanations